Diagnóstico ecográfico y evaluación de fibrosis y esteatosis hepática
La enfermedad hepática crónica representa hoy uno de los principales desafíos clínicos, especialmente en el contexto del aumento de la esteatosis hepática asociada a disfunción metabólica (MASLD). En este escenario, la posibilidad de cuantificar de manera objetiva la grasa y la fibrosis hepática mediante ultrasonido avanzado modifica sustancialmente el enfoque diagnóstico y el seguimiento de los pacientes.
Esteatosis y fibrosis: comprender la relación fisiopatológica
Esteatosis hepática
La esteatosis corresponde a la acumulación de grasa en los hepatocitos. Sus principales causas incluyen:
- Metabólicas (obesidad, insulinorresistencia, dislipemia)
- Alcohol
- Fármacos y tóxicos
- Causas nutricionales
- Otras: embarazo (hígado graso agudo), hepatitis C
En su forma simple, la esteatosis es potencialmente reversible. Sin embargo, su progresión a esteatohepatitis puede desencadenar fibrosis.
Fibrosis hepática
La fibrosis es el depósito progresivo de tejido fibroso como respuesta a una agresión crónica del hígado. Entre sus causas se destacan:
- Enfermedades hepáticas crónicas
- Alcohol
- Trastornos metabólicos y genéticos
- Enfermedades autoinmunes
- Congestión hepática crónica
- Exposición prolongada a fármacos y tóxicos
La progresión puede culminar en cirrosis. No toda esteatosis progresa a fibrosis, pero constituye el punto de partida más frecuente.
Evaluación cuantitativa: más allá del análisis morfológico
La ecografía actual permite no solo describir cambios estructurales, sino medir cuantitativamente grasa y fibrosis mediante herramientas específicas.
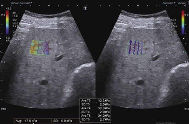
Elastografía Shear Wave: medición objetiva de fibrosis

La Shear Wave Elastrography (SWE) es el método principal para valorar fibrosis hepática.
¿Qué mide?
La rigidez del parénquima hepático, que aumenta a medida que progresa la fibrosis.
¿Cómo funciona?
- El transductor genera ondas de corte (shear waves).
- Se mide la velocidad de propagación.
- A mayor rigidez → mayor velocidad → mayor fibrosis.
Resultados
- Expresados en kilopascales (kPa).
- Permite estadificación F0–F4.
Utilidad clínica
- Hepatopatías crónicas
- Hepatitis virales
- MASLD
- Seguimiento evolutivo sin necesidad de biopsia
Ventajas
- Método no invasivo
- Reproducible
- Ideal para control longitudinal
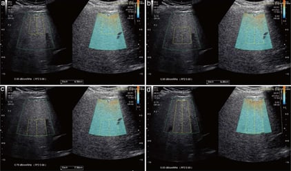
QAI: cuantificación objetiva de la esteatosis


El Coeficiente de Atenuación Ultrasónica (QAI) permite cuantificar el contenido graso hepático.
¿Qué mide?
La atenuación del haz ultrasónico al atravesar el hígado.
La grasa incrementa dicha atenuación.
Resultados
- Expresados en dB/cm/MHz.
- Valores crecientes se correlacionan con esteatosis leve, moderada o severa.
Utilidad clínica
- Detección precoz de esteatosis antes de cambios morfológicos evidentes.
- Evaluación en síndrome metabólico.
- Seguimiento de intervenciones terapéuticas (dieta, fármacos, descenso ponderal).
Enfoque combinado: el verdadero valor clínico
La combinación de QAI + Shear Wave constituye el enfoque más completo:
| Parámetro | Evalúa | Indicador |
|---|---|---|
| QAI | Esteatosis | Cantidad de grasa |
| Shear Wave | Fibrosis | Rigidez / daño estructural |
Beneficios del abordaje combinado
✔ Diferencian grasa de fibrosis
✔ Reducen la necesidad de biopsia
✔ Permiten seguimiento evolutivo objetivo
✔ Mejoran la estratificación de riesgo
Consideraciones técnicas según guías
Para una correcta medición:
- Realizar el estudio en ayuno.
- Evitar mediciones inmediatamente postprandiales.
- Seleccionar adecuadamente la región de interés.
- Realizar múltiples adquisiciones válidas y promediar.
- Interpretar los valores dentro del contexto clínico.
La estandarización técnica es clave para garantizar reproducibilidad y confiabilidad diagnóstica.
Impacto en la práctica clínica
La incorporación de herramientas cuantitativas redefine el rol de la ecografía hepática:
- Permite diagnóstico temprano.
- Mejora la toma de decisiones terapéuticas.
- Optimiza la comunicación interdisciplinaria con hepatología y clínica médica.
- Reduce procedimientos invasivos innecesarios.
En un contexto epidemiológico dominado por la enfermedad hepática metabólica, estas técnicas consolidan al ultrasonido como herramienta central no solo en la evaluación inicial, sino también en el seguimiento estructurado del paciente hepático.
Conclusión
La evaluación cuantitativa de esteatosis y fibrosis mediante QAI y Shear Wave representa un avance significativo en el diagnóstico por imágenes hepático.
Se trata de técnicas complementarias, no excluyentes, que permiten una valoración integral del parénquima hepático con precisión, reproducibilidad y enfoque centrado en el paciente.
La medicina actual exige objetividad y seguimiento longitudinal. La tecnología disponible hoy lo hace posible.
Conozca más sobre el ecógrafo MyLab E80, de Esaote, un equipo con herramientas basadas en IA, que optimiza la calidad de imagen, mejora la reproductibilidad y reduce la variabilidad entre operadores
